A dazzling smile has the power to light up a room, boost your confidence, and make a lasting impression. But for many of us, imperfections like stains, chips, or uneven teeth can hold us back from fully embracing our smile. Luckily, modern dentistry has the solution: composite veneers. These tooth-colored restorations can completely transform your smile, giving you the flawless, radiant look you’ve always dreamed of. In this post, we’ll explore how composite veneers can turn your stained or imperfect teeth into a stunning masterpiece.

What Are Composite Veneers?

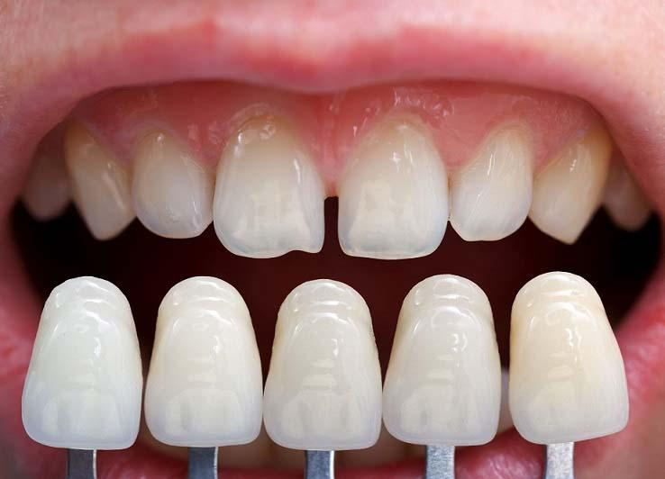
Composite veneers are ultra-thin layers of tooth-colored resin that are applied directly to the front of your teeth. They’re designed to cover imperfections like stains, cracks, chips, gaps, or even slightly misaligned teeth, creating a smoother, more uniform appearance. Unlike porcelain veneers, which are custom-made in a lab, composite veneers are sculpted directly onto your teeth by your dentist, offering a more affordable and quicker solution to achieve a perfect smile.

How Composite Veneers Can Transform Your Smile

1. Say Goodbye to Stains

One of the most common reasons people choose veneers is to eliminate stubborn tooth stains. Coffee, tea, wine, or smoking can leave your teeth looking dull and yellowed, even after regular brushing. Composite veneers can completely mask these stains, giving your teeth a whiter, brighter appearance that can last for years. The resin used in composite veneers is stain-resistant to a degree, meaning your smile will stay vibrant for a longer time.

2. Fix Chips and Cracks

Chipped or cracked teeth can be both unsightly and uncomfortable. If you have teeth that are damaged but still healthy, composite veneers can restore them to their original look and function. The resin is carefully sculpted and bonded to your tooth, filling in any chips or cracks. Not only does this improve the aesthetics of your smile, but it also provides extra strength to the affected teeth, preventing further damage.

3. Hide Gaps Between Teeth

If you have small gaps or spaces between your teeth that make you self-conscious, composite veneers can close the gap and create a seamless, uniform appearance. The composite resin is shaped to fit naturally with your surrounding teeth, eliminating unsightly spaces and enhancing the overall alignment of your smile.

4. Correct Uneven Teeth

Whether your teeth are slightly crooked, too short, or uneven in size, composite veneers can help. They’re incredibly versatile and can be shaped to correct various aesthetic imperfections. If you’re looking for a smile makeover but don’t want to go through the hassle of braces or other more invasive treatments, composite veneers offer a quick, non-invasive solution.

5. Improve Tooth Shape

Over time, teeth can become worn down or misshapen due to habits like grinding or natural aging. Composite veneers are a fantastic way to reshape teeth, restoring their ideal contours and proportions. Whether you need a subtle touch-up or a complete makeover, composite veneers can be customized to fit your desired look.

6. Natural Look and Feel

Composite veneers are designed to mimic the natural translucency of your teeth, ensuring that they blend seamlessly with your smile. The resin can be easily matched to the color of your surrounding teeth, creating a completely natural appearance. Unlike some other dental treatments, composite veneers won’t look like “fake” teeth; they’ll feel and look just like your own natural enamel.

7. No Need for Extensive Tooth Preparation

One of the most significant advantages of composite veneers over porcelain veneers is that they require little to no tooth reduction. In many cases, your dentist will only need to remove a small amount of enamel to ensure proper bonding. This minimally invasive procedure preserves the integrity of your natural teeth, making composite veneers a less aggressive and more conservative option for smile enhancement.

The Composite Veneer Procedure: What to Expect

Getting composite veneers is a straightforward process that typically takes just one dental visit. Here’s how it works:

  1. Consultation and Planning
    Your dentist will start with a consultation to understand your smile goals. They'll assess the condition of your teeth, discuss the imperfections you’d like to correct, and help you determine if composite veneers are the best option for you.

  2. Preparation of Your Teeth
    In most cases, the procedure involves little to no removal of tooth structure. Your dentist will clean your teeth and may lightly etch the surface of the teeth to help the veneer bond securely.

  3. Application of the Composite Resin
    The composite resin is applied in layers. Each layer is shaped to match your desired tooth contours. Your dentist will take care to ensure the veneer is well-fitted and looks natural. A special light is then used to harden each layer of resin.

  4. Shaping and Polishing
    Once the resin has hardened, your dentist will fine-tune the shape, ensuring it fits comfortably with your bite. The veneer will then be polished to a smooth, glossy finish, so it blends seamlessly with your natural teeth.

  5. Final Touches
    After the veneer is applied, your dentist will check your bite and make any necessary adjustments to ensure comfort and function. The final result will be a stunning, personalized smile that is naturally beautiful and rejuvenated.

Benefits of Composite Veneers

  • Quick and Convenient: Composite veneers can often be completed in just one visit, unlike porcelain veneers, which may take multiple visits and require a longer wait time for the custom creation of the veneers.

  • Minimal Maintenance: Composite veneers are easy to maintain. Simply brush and floss regularly, and avoid habits like grinding your teeth or chewing on hard objects to extend their longevity.

  • Cost-Effective: Composite veneers are significantly more affordable than porcelain veneers, making them a great option for those who want to achieve a stunning smile on a budget.

  • Reparable: If a composite veneer chips or becomes damaged, it can be repaired by your dentist, saving you the cost of replacing it entirely.

  • Customizable: Composite veneers can be shaped and colored to match your unique smile, ensuring a truly personalized result.

How Long Do Composite Veneers Last?

With proper care, composite veneers can last anywhere from 5 to 7 years, or even longer. Regular visits to the dentist for check-ups and cleanings are essential to keeping your veneers in good shape. Additionally, taking care of your oral health and avoiding habits that can damage the veneers, such as biting your nails or chewing on hard objects, will help maximize their lifespan.

Tips to Extend the Life of Your Composite Veneers:

  • Practice Good Oral Hygiene: Brush your teeth at least twice a day, floss daily, and use mouthwash to maintain a clean, healthy mouth.

  • Avoid Staining Foods and Beverages: While composite veneers are resistant to stains, it’s still a good idea to limit your intake of stain-causing substances like coffee, tea, and tobacco.

  • Wear a Mouthguard: If you grind your teeth at night or play contact sports, wearing a mouthguard can protect your veneers from damage.

Conclusion

From unsightly stains to chipped teeth or minor misalignments, composite veneers offer a transformative solution to help you achieve a radiant, confident smile. Whether you’re dealing with cosmetic imperfections or just want to brighten your smile, composite veneers can provide you with a fast, effective, and affordable way to enhance your appearance. With minimal preparation, quick application, and results that last, composite veneers are a smart choice for anyone looking to redefine their smile—turning from stains to stunning in no time!